
Contents
今日は整形外科の腫瘍について

7月もあっという間に1/3が終わりました。
病院は少しずつ、患者さんが増えてきましたが、またコロナの人数も増えてきました、、、
新型コロナ 東京都、新規感染者数は224人 1日当たり過去最多 https://t.co/xE9gfHNXvW
4段階評価の警戒度で感染状況は上から2つ目の「感染が拡大しつつあると思われる」を維持、医療提供体制は1段階引き上げて2つ目の「体制強化が必要であると思われる」とした。
— 産経ニュース (@Sankei_news) July 9, 2020
引き続き注意ですね。
早く沈静化してほしい。。。
こんな状況で頑張らなきゃいけないのですが、最近入院したVIPの患者の対応に心が折れそうです。
いまだにこんな人いるんだって感じ。
自分の理論で”コレはおかしい”とか、
”自分はこう思ってるんだ”ってことを正しいと盲信してる奴
いや、マジで害悪だ、、、笑
そういう対応も学ぶのは大事なことですが、、禿げるわーーーーw
今日は整形外科でも、
腫瘍
の話。
あんまり整形外科では馴染むの薄い分野といいますか、
良性悪性問わず、あまりそこに関わりたくない人が多いのでは?笑
といっても、整形外科でも腫瘍性病変はある訳で、全て大病院にパス!
とは今後ならないでしょう。
というわけで、今回は骨腫瘍の中の一つ、
骨巨細胞腫
について
病態などなど

骨巨細胞腫は、臨床的には良性の経過をとるが、局所活動性の高い原発性骨腫瘍で、病理組織学的には類円形単核細胞と散在する破骨細胞様巨細胞からなる特徴的な像を示す。
今日の整形外科の治療指針 第7版
なんのこっちゃw
まあ、良性骨腫瘍だけど、活動性は高いと。
大事な点として
通常、腫瘍の発生場所は、長管骨の骨端〜骨幹端(時に軟骨下骨直下へ進展)であること
具体的部位としては
・大腿骨遠位
・脛骨近位
・撓骨遠位
・上腕骨遠位
の頻度が多いです。
まず膝!!!
からの手首・肩らへん。です。
そこの疼痛及び圧痛、腫脹、荷重時痛があれば注意。””関節でなくて、骨が痛い””って訴えです。
また脊椎や骨盤にも発生します。
特に仙骨などは膀胱直腸障害を含めた神経障害や脊椎・骨盤の支持機構の破綻をきたす可能性があり、
早期発見、早期治療が必要です。
頻度は原発性骨腫瘍の3~7%程度で男女比は女性にやや多いとの報告では散見されてます、
がほぼなさそう、日本ではあまりに性差なし。
好発年齢は20〜45歳となっております。15歳以下はほぼなし。
*腫瘍は骨幹端から発生し骨端方向へと広がります、骨端線が閉鎖していないと骨端方向へ広がることはできません。
分類としては良性腫瘍ですが、、
問題として、
局所侵襲性が強く、外科的治療後も再発率は10〜25%と報告あり。
良性骨腫瘍の中では再発しやすく、難治性となりやすい。
また、稀に悪性あるいは悪性転化あり。
1%未満ですが、病巣一部・再発病変内に高悪性度の肉腫が発生することあり。(総称として悪性骨巨細胞腫)
・type1(quiescent lesion):明瞭な境界を持ち、骨皮質への進展がないか、最小限のもの
・type2(active lesion):骨皮質の菲薄化と膨隆がみられるもの
・type3(agressive lesion):骨皮質の穿孔や破壊があり、腫瘍が軟部組織に進展したもの
type3は再発リスクが高いと報告されています。
また、肺移植病変(良性腫瘍の性質保持したまま肺転移)を認めることもありと。
生命を脅かすことは稀ですが、他の疾患との鑑別のためには検索・フォローは必要です。
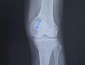
診断はX線が簡便かつ有効ですね。
骨端に及ぶ腫瘍は多くないですが、
”骨巨細胞腫”は骨幹端から骨端に偏心性、膨張性の病変です(下図の如く、イメージですが)

骨溶骨性病変を広範に認めますね。(透けて見える感じ)
辺縁は比較的明瞭で骨硬化を伴う例は少ないです。
進展例は内膜側からの侵食、外膜側の反応性骨形成での膨隆を認め、腫瘍内部に隔壁が存在するようにみえます。
soap-bubble-apperance
と聞けば、懐かしいと思う方いるんじゃないでしょうか。
これを見たら骨巨細胞腫を疑いましょう。
CTなどでは骨皮質の菲薄化などですね。
腫瘍内部には通常石灰化は見られません。
MRIではT1 low,T2 highでよく造影されます。
病巣は出血や壊死・嚢腫形成・ヘモジデリン沈着などで不均一な像(T2がわかりやすい)を呈する事が多いです。
液面形成像を示すこともあります。
XPだけでも診断は比較的できそうですが、
確定診断は生検、病理組織所見は必須です。
治療は腫瘍組織の除去。
範囲としては腫瘍内切除(病巣掻爬)〜辺縁ないし広範切除縁での一塊切除。
大きく取れば再発リスクが低いですが、術後の機能低下と合併症バランスを考慮しなければならず、
第一選択は病巣掻爬となることが多いです。
病巣掻爬+骨移植などによる欠損部の補填が標準ですが、
単純な掻爬では再発率が高く、局所補助治療が併用されます。
骨セメントを使用し欠損部補填、重合熱による温熱処理などはまさにそうですね。
徹底的な掻爬が最も重要であり、
補助治療なくとも十分な掻爬が出来れば再発は起こりにくいです。
ただ骨セメントのメリットとして、術後安定性による荷重と再発時の認識しやすさがあります。
腫瘍は緊張する、、、

骨巨細胞腫について、簡単ながらまとめさせていただきました。
腫瘍は、診断・治療はもちろん、鑑別も十分に行う必要があります。
特に今回のような骨巨細胞腫や悪性腫瘍は
専門性が高く、大病院での早期・集学的治療が重要です。
特に骨巨細胞腫の鑑別となる”骨肉腫”は絶対見落とせません。
整形外科の悪性腫瘍の嫌な部分ですが、10代を中心とした若い世代が多いです。。
若い世代で、急速進行する疼痛、特に大腿の疼痛は要注意です。











